
The Invention that started it all: Engineered Stem Cell (ESC)
Our founder developed and patented the world's first synthetic stem cells by replicating regenerative signaling and encapsulating them in microcapsule "cell membranes."
We specialize in stem cell signaling and precision delivery systems for protein cargo.
Our first candidate regenerates chondrocytes in arthritic joints. Our second repairs skin.

First Aging Driver: Stem Cell Exhaustion
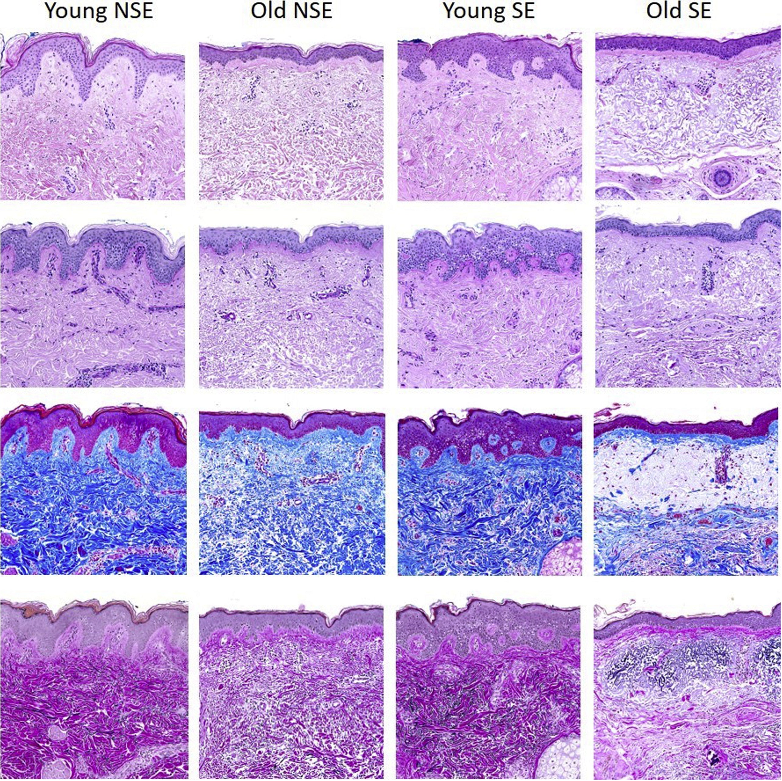
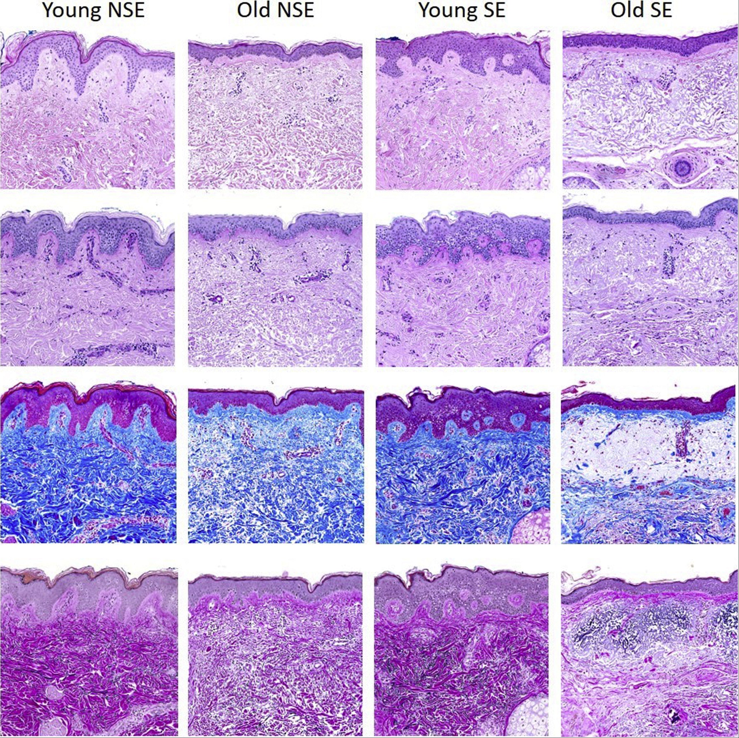
By 25, skin enters its early aging phase (pre-aging). This is a key intervention window to begin optimizing skin state.
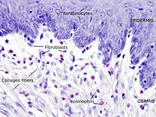
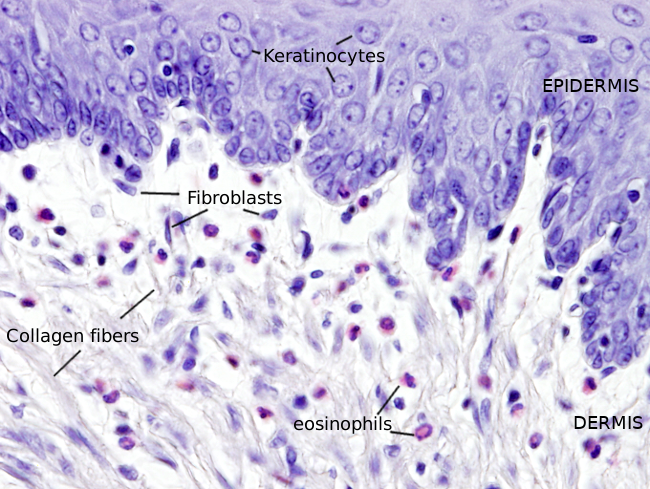
Stem cells, which control repair and release key regenerative signals, begin to slow and slip into senescence. As their signaling drops, communication between skin cells breaks down.
This leads to slower cell renewal, increased inflammation, reduced collagen and elastin production, and manifests in visible signs of aging such as fine lines, pigmentation, laxity, and skin thinning. This drives "rapid aging" appearance in a matter of a few years.

Precision Delivery
Most growth factor products lack true efficacy due to the large size and instability of these proteins. They may degrade or simply sit on top layer of skin.
DL-01 components are encapsulated in a micron-sized novel lipid carrier for delivery into epidermis and dermis. This supports controlled release (precise dosing), protein shelf-stability, and key skin cell pathway activation.

DL-01: The Breakthrough Longevity Complex
Fueled by decades of stem cell research, DL-01 was developed to replace and mimic the lost regenerative signals in our skin.
DL-01 is made with 100% plant-derived, human-identical signaling proteins optimized for skin cell delivery.
DL-01 was discovered after thousands of AI-enabled screens for synergystic factors that work together to repair and regenerate skin.
Epidermal Growth Factor is a naturally occurring polypeptide with 53 amino acids.
The most studied skin cell activator. Key activator of fibroblasts to produce collagen and elastin, accelerating damage repair and cell regeneration. Most EGF can't penetrate the top layer of skin to work underneath. DL-01 contains EGF with a propriatry delivery system to ensure optimal bioavailability.
Fibroblast Growth Factor-2, also known as basic FGF.
Promotes fibroblast proliferation, collagen synthesis, and angiogenesis (formation of new blood vessels). In the skin, it accelerates wound healing, enhances dermal regeneration, and helps restore firmness and elasticity by supporting both structural proteins and vascular supply.
Insulin Growth Factor-1.
helps modulate inflammation in the skin by promoting cellular repair and reducing pro-inflammatory signaling. It counteracts the effects of inflammatory cytokines that degrade collagen and accelerate aging. By supporting balanced fibroblast and keratinocyte activity, IGF-1 maintains tissue integrity and prevents chronic inflammation that leads to skin thinning and loss of elasticity.
Nicotinamide Adenine Dinucleotide precurser, enzyme NAMPT booster.
NAD+ is difficult to absorb by itself. Our approach boosts NAD+ levels by enhancing
the expression of the rate-limiting enzyme NAMPT, so the body produces more NAD+ naturally. This works together with the above signal proteins to help maintain skin health and repair. Ingredient is derived from sunflower biosynthesis.
The Result

Stimulates Cellular Metabolism
Enhances mitochondrial energy production and accelerates cell renewal.

Reduces Inflammation
Modulates inflammatory pathways to support skin health, reduce pigmentation, and balanced healing.

Boosts Collagen Synthesis
Activates fibroblasts to increase collagen and elastin production, improving firmness and texture.

Enhances Endogenous Repair
Strengthens the skin’s natural repair capacity by promoting protein synthesis and tissue regeneration.

Rigorously Validated
We're deeply passionate about the science of everything we create.
Our DL-01 is validated in in-vitro models of human skin, and we have begun recruitment for clinical testing + dermatologist oversight in partnership with a third-party clinical agency.
Research That Shapes Us
Addresses multiple aging markers: wrinkles, laxity, and barrier dysfunction. Preclinical and clinical data support the synergistic action of multiple growth factors.
Growth factors like TGF-β and FGF direct fibroblast behavior, a model translatable to skin rejuvenation.
Proliferation: TGF-β alone can inhibit fibroblast proliferation. However, when combined with EGF or basic FGF (bFGF), this inhibitory effect is overcome, leading to enhanced proliferation.
Discusses internal (genetic, hormonal) and external (UV, pollution) factors in skin aging.
Advocates multi-pronged treatments, including growth factors.
Reviews modern delivery vehicles (microspheres, hydrogels) to sustain and localize growth factor activity.
Explores therapeutic interventions aimed at restoring ECM, including topical growth factors.



